Artikel
Koronare Herzkrankheit
Wenn die Adern „verstopfen“
ca. 5 Minuten
*Aus Gründen der Lesbarkeit verwenden wir die männliche Form, meinen jedoch Menschen aller Geschlechter.

Die koronare Herzkrankheit (KHK) ist mit 540.000 Krankenhausaufnahmen pro Jahr die häufigste Herzerkrankung in Deutschland und eine der führenden Todesursachen. Dr. Sebastian Leube, Oberarzt der Kardiologie im St. Josefs-Hospital Wiesbaden, erklärt, wie sich eine KHK vorbeugend vermeiden lässt und welche modernen Diagnostik- und Therapieoptionen heute zur Verfügung stehen.
"Etwa 80 bis 90 Prozent der koronaren Herzkrankheit sind auf einen krankheitsfördernden Lebensstil zurückzuführen."
In Deutschland leiden derzeit etwa 2,5 Millionen Frauen und 3,5 Millionen Männer an einer koronaren Herzkrankheit. Eine Vielzahl der Patienten wissen oft gar nicht, dass sie von dieser Erkrankung der Herzkranzgefäße betroffen sind. Herzkrankgefäße sind die „Adern“, die das Herz mit sauerstoffreichem Blut versorgen. Durch einen ungünstigen Lebensstil und verschiedene Risikofaktoren kommt es mit der Zeit zu einer zunehmenden Ablagerung, so genannten Plaques, und der Entstehung einer Atheriosklerose.
Die „Adern“ verengen durch die zunehmende Verkalkung und das führt zu einer verminderten Durchblutung des Herzens. Die Arteriosklerose ist dabei ein schleichender Prozess, der sich über Jahre bis Jahrzehnte, anfangs unbemerkt entwickelt. Beschwerden, beispielsweise Brustenge, treten meist erst bei einer Einengung der Gefäße von mehr als zwei Drittel auf.
Ursachen
Etwa 80 bis 90 Prozent der koronaren Herzkrankheit sind auf einen krankheitsfördernden Lebensstil zurückzuführen. Ungesunde Ernährung, zu wenig Bewegung, Rauchen und Stress sind maßgeblich an der Entstehung der Erkrankung beteiligt. Weitere beeinflussbare Risikofaktoren stellen Begleiterkrankungen wie Diabetes, Bluthochdruck und Fettstoffwechselstörungen dar. Diabetes erhöht beispielsweise das Risiko für Herzinfarkte bei Frauen um das Sechsfache und bei Männern um das Vierfache. Weitere Risikofaktoren wie zunehmendes Lebensalter, genetische Veranlagung, etwa familiäre Fettstoffwechselstörungen, oder das Geschlecht, sind nicht zu beeinflussen.
Symptome
Das Leitsymptom der KHK stellt die Brustenge „Angina pectoris“ dar. Hierbei handelt es sich um einen anfallsartig auftretenden Schmerz, Druck oder Engegefühl im Bereich des Brustkorbs, der meist durch körperliche Anstrengung, Kälte oder psychische Erregung ausgelöst wird. Dieser kann in typische Regionen wie den Kiefer, Hals, Rücken oder die Arme ausstrahlen und verschwindet meist in Ruhe. Bei Frauen oder Diabetikern können auch untypische Beschwerden wie Oberbauchbeschwerden bestehen. Der Schmerz ist dabei Ausdruck der gestörten Durchblutung der durch die „Verkalkung“ der Gefäße ausgelöst wird. Bei diesen Beschwerden sollte, insbesondere wenn die Intensität, Dauer und Häufigkeit der Schmerzzustände zunehmen, unbedingt eine zeitnahe Abklärung beim Kardiologen erfolgen. Je früher die KHK behandelt wird, desto besser ist die Prognose.
Achtung: Notfall!
Bestehen die Beschwerden auch in Ruhe oder geringster Belastung,spricht man von einer instabilen Angina pectoris. Diese gilt als Vorstufe des Herzinfarkts (Verschluss eines Gefäßes), aus der sich ein Herzinfarkt entwickeln kann. Ein akutes Koronarsyndrom ist ein Notfall! Hier sollte umgehend der Rettungsdienst über die 112 verständigt werden.
Diagnostik und Therapie
Die Diagnostik der koronaren Herzkrankheit und die Bewertung der Ergebnisse ist sehr komplex. In einem Arzt-Patienten-Gespräch wird die Krankengeschichte besprochen, es werden Risikofaktoren und Beschwerden erfragt. Weiterhin kann durch Basisdiagnostik wie Labor, Ruhe-EKG und Herzultraschall die Diagnose gefestigt werden. Anschließend wird der Kardiologe die individuelle Wahrscheinlichkeit für das Vorliegen einer KHK anhand gewichteter Risikofaktoren und dem Beschwerdebild einschätzen und die diagnostische Abklärung bestimmen.
Ziel ist es, unnötige belastende (invasive) Untersuchungen zu vermeiden. Bei niedriger bis mäßiger Wahrscheinlichkeit (> 5 bis 50 Prozent) kann ein Herz-CT in erster Linie als Ausschlussdiagnostik verwendet werden. Bei hoher Wahrscheinlichkeit von 50 bis 85 Prozent kommen diagnostische Verfahren wie Stress-Ultraschall, Myokardszintigraphie oder Herz-MRT zum Einsatz. Diese Untersuchungen imitieren eine Belastungssituation und können somit eine mögliche Minderdurchblutung (Ischämie), wie sie bei einer KHK vorliegt, nachweisen.
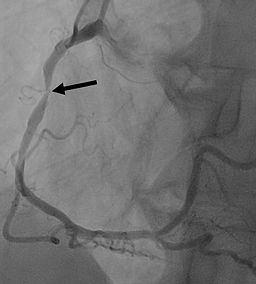
Bei hoher Wahrscheinlichkeit (> 85 Prozent) oder Nachweis einer Durchblutungsstörung in den aufgeführten Untersuchungen, sollte eine invasive Koronarangiographie (Herzkatheter) durchgeführt werden. Dabei wird ein kleiner Schlauch (Katheter) durch die Handgelenk- oder Leistenarterie zum Herzen geführt. Mit Hilfe von Kontrastmittel können dann die Herzkranzgefäße und mögliche Engstellen durch Röntgenaufnahmen sichtbar gemacht werden. Während des Eingriffs können vorliegende Engstellen mit Gefäßstützen (Stents) direkt behandelt werden.
Die medikamentöse Therapie beinhaltet Arzneimittel, die das Fortschreiten der Erkrankung und die Lebenserwartung günstig beeinflussen. Weiterhin kann die Angina pectoris medikamentös behandelt werden. Ein maßgeblicher Pfeiler der Behandlung ist zudem die gesundheitsfördernde Anpassung des Lebensstils und die Behandlung der vorliegenden Begleiterkrankungen wie Fettstoffwechselstörungen, Bluthochdruck und Diabetes.
.jpg)
Foto: JoHo
Dr. med. Sebastian Leube-Amato ist Oberarzt in der Medizinischen Klinik I/Kardiologie des St. Josefs-Hospitals in Wiesbaden. Er ist Facharzt für Innere Medizin und Kardiologie. Zu seinen Schwerpunkten zählen die kardiologische Versorgung sowie die Akut- und Notfallmedizin.
Foto: JoHo

Rechtes Herzkrangefäß mit hochgradiger Engstelle(Pfeil).
Weitere Informationen
Wollen Sie mehr zur koronaren Herzkrankheit erfahren? Im ZDF-Beitrag „Volle Kanne“ mit Prof. Joachim Ehrlich vom St. Josefs-Hospital (Beitrag startet bei 1:01h) finden Sie nochmal einen Überblick über das Thema sowie Erfahrungberichte von Betroffenen.
Wie hoch ist Ihr Risiko für einen Herzinfakt? Finden Sie es mit dem Risikotest der Deutschen Herzstiftung heraus!
Das Frauengesundheitsportal des BIÖG informiert zudem zu den Risikofaktoren und Warnzeichen von Herzinfakten bei Frauen.